时间久了就会造成
有以上情况?咨询医生>>>关爱儿童 • 口腔筛查
筛查项目
口腔、牙齿、颌骨
发育情况,有无口腔疾病
吮指、吐舌等,
检查有无不良口腔习惯
反颌、前突等,有无
牙颌早期发育畸形现象
填写表格 领取0元检查套餐
数字化口扫+拍片检查+儿童矫正补贴6000元
提交申请后工作人员会在1个工作日内与您取得联系。
我们承诺您的资料仅用作本次活动凭证,并对您的信息保密。
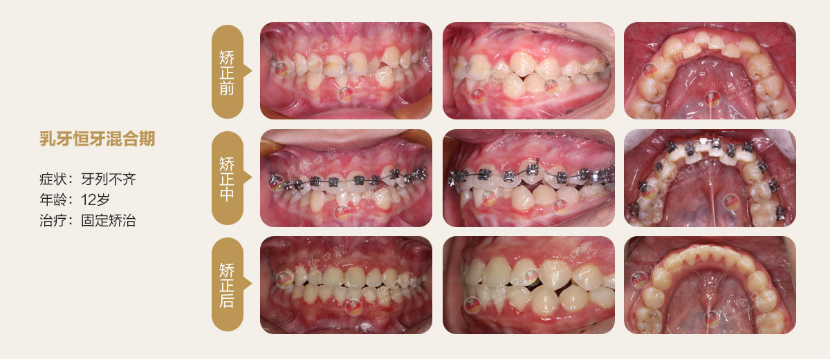
儿童牙齿矫正的时期
乳牙阶段(3-5岁)
这个时期主要适用于乳牙反颌(地包天),早期矫治有利于上颌骨发育,预防恒牙反颌。如果孩子有申舌、咬唇、口呼吸等不良习惯,在这个阶段可以矫正,预防错颌畸形的发生。
替牙期阶段(8-12岁)(女孩8-10岁 男孩9-12岁)
这个时期是孩子生长发育的青春前期,牙齿矫正治疗可以充分利用颌骨生长潜能,通过促进或抑制颌骨的生长而达到治疗目的,对改善孩子的面形颌功能更有利。
恒牙早期阶段(11-16岁)(女孩11-14岁 男孩13-16岁)
这时期是进行牙齿矫治的黄金期。多数恒牙已萌出,牙弓发育基本完成,牙不齐等问题基本定型,这时期牙床处于旺盛状态,进行牙齿矫治,利于牙齿移动及牙槽骨改建。
儿童牙齿矫正 选对机构很重要
德伦口腔追求实现矫治美观、健康、功能三大目标。为了更好的实现矫治三大目标,德伦口腔设立正畸三层级会诊制度,即每一位患者的矫治方案并不是由主诊医师一个人决定,而是需要“主诊医生-科主任-技术院长”对方案进行把关。
主诊医师定制个性化治疗方案
科主任领衔专家团队审核方案
技术院长(学术带头人)复核治疗方案
德伦口腔 • 数字化定制 • 精细治疗
德伦口腔儿童齿科作为集团特色科室十分注重儿童早矫投入,在广东省内率先设立了儿童错颌畸形早期矫治特色门诊,于2022年经过广州市科学技术局评审后认定为“广州市儿童口腔健康科普教育基地”。德伦口腔医生围绕“如何从牙齿、颌骨、肌肉三维解决孩子错颌畸形问题,利用数字化技术可打造可视化准确矫治方案。
数字化矫治方案99元设计 >>>小小矫治器 大大讲究
德伦口腔多种矫治器选择
适合年龄:3-10岁的儿童
适应证:主要用于调整咬合、牙弓等情况
佩戴时间:不少于12小时,尽量全天佩戴
适合年龄:3-15岁的儿童
适应证:主要改善孩子们的不良口腔习惯
佩戴时间:白天2-3小时,晚上整晚佩戴
适合年龄:12岁以上青少年
适应证:主要矫正青少年常见的错颌畸形
佩戴时间:不能自行摘戴,矫正力较为持续
适合年龄:12岁以上青少年
适应证:主要矫正青少年常见的错颌畸形
佩戴时间:自由摘戴,但需自律性和配合度
儿童矫正 放心选择
德伦口腔与您一样关爱孩子
专业矫牙到德伦口腔
30+连锁 贴心服务 便捷看牙
德伦口腔目前在广佛两地开设了30+连锁分院,服务范围覆盖珠江三角洲等核心地区,院点多设在地铁沿线,市民可就近选择院点,享受德伦口腔专业、舒适、便捷的诊疗服务。
